In the midst of taking it easy on my still recovering broken foot, I decided to try doing a workout with some low-impact activities (I'm supposed to be on orders of no high-impact for another two months - keep in mind though I already started jogging and played some light volleyball). Well, I did some squats, some knee push-ups, a ton of abs and then without really thinking decided to do a lunge. I learned my lesson quickly. Although a lunge can be considered low impact, the flexion on my back foot was way to extreme and I instantly felt pain shooting in my foot. I immediately stopped, sat on the couch, elevated my foot and put some ice on it.
That night I had to work and I had a crazy busy night so unfortunately there was little to no sitting/resting for me. By the end of the shift my foot was throbbing uncontrollably.
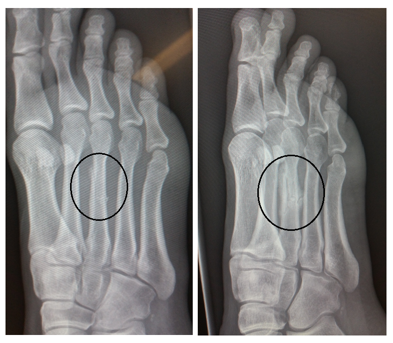
Here is why:
![]() |
| (Left: Originally fractured foot June 21, 2015, Right: Re-fractured foot August 1, 2015) |
The right side picture shows what the fracture site looks like now. Sure there is evidence of bony callus forming (which means there is lots of healing going on), however, the bones aren't nearly as nicely aligned, and there are a few little "chips" coming off.
I don't think there is much more to say other than this: I'm devastated.
I know, I know, it's my own fault for not taking a full 6 weeks to let the bones heal before any physical activity, and it's my own fault for starting running sooner than 3 months in, and it's my own fault for knowing better and still doing it all anyway. Regardless though, it doesn't make it any easier to sit here and tolerate not being able to participate in the things that for so long have defined the person I am.
It feels impossible to just sit back and rest right now. I know my body needs it, but my mind can't handle. I'm stuck in this battle of body vs. mind and to be honest I'm not sure who is going to win.
-Linds

Oh no Linds, that sucks big time! :-( I guess upper body workouts it is, no leg days for you.
ReplyDeletehttp://weknowmemes.com/2012/07/friends-dont-let-friends-skip-leg-day/
Haha!
Delete-Linds